您现在所在的位置:>首页 > 生活 > 正文
皮肌炎能活多久(肺癌都是悄无声息地发生吗?手指头的症状能说明是肺癌吗)
发布时间:2022-09-25 09:43   浏览量:2

在我们医院的肿瘤科,有一半以上是肺癌病人,而且75%以上都是肺癌晚期,5年生存率只有不到20%,剩下的一部分也是肺癌中期!

为什么会这样?

这跟肺癌临床症状多隐匿,我们发现的晚有关!那么肺癌真的都是悄无声息地发生吗?手指头的症状能说明是肺癌吗?今天我就跟大家一起来聊一聊这个关于如何早点才能发现肺癌的话题!

肺癌是高发癌!

2012年,全球新发肺癌人数182.5万,占了所有癌症的13.0%,而死于肺癌的有159.0万,占所有癌症死亡的19.4%!因此,肺癌是全世界癌症相关死亡最主要的原因

当然,在过去20多年,实际上西方国家的肺癌发病与死亡率是有下降的,但是在我们国家这种发展中国家是持续上升,像2015年,我国新发73.3万,死亡61.0万,列首位,发病高峰年龄在55-65岁之间,男的多于女的,大概在2.1:1!

那么是什么原因导致我国肺癌高发?

首先,我们说但凡是癌,病因和发病机制都是不明确的,也就是说一个人到底为什么会得癌症?目前医学上是说不清楚的,这其实也是导致我们“逃癌色变”的原因之一!

但是,我们说不知道为什么得癌,并不意味着癌症100%不可防,随着医学研究的不断深入,已有很明确证据证明肺癌的发生与下列因素有关

有关是什么意思?就是控制了这些因素,虽然不能100%防住这个肺癌,但是会降低肺癌的发生率!

具体有哪些?

第一个,我要说的就是吸烟,而吸烟不仅仅指的是抽烟本身带来的危害,实际上还有被动吸烟,即二手烟,还有像被吸烟者污染的物体等三手烟,有研究表明:非吸烟者与吸烟者结婚共同生活多年后其肺癌风险增加20%—30%,而且其罹患肺癌的危险性随配偶吸烟量的增多而升高。因为烟里边大概有四千多种化学物质,其中致癌的大概有四十多种,所以烟草早已经被列为A级致癌物,吸烟与所有病理类型肺癌的危险性相关!

在这里教大家一个计算自己是不是肺癌高危人群方法!

大家用自己的烟龄乘以每天抽的平均支数,然后就可以算出一个数,这个数就叫做吸烟指数;

吸烟指数如>400时候,我们医生就把这类人群定义为肺癌高危人群。

第二个,是职业暴露因素。所谓的职业暴露,其实说的就是你是从事什么工作的,比如说一些粉尘比较大的,还有在煤矿上班的等等。目前已经被确认的致癌物质包括有石棉、砷、双氯甲基乙醚、芥子气、多环芳香烃类以及铀、镭等放射性物质产生的氡气等,这些因素可以让我们一个人得肺癌的危险性增加3-30倍!

当然,这时候可能有的人要跟我说,我爸或者我家谁谁现在在哪里上班都多少年了,也没事呀,你是不是吓唬人?

事实上,并不是!由于我们的肺癌形成是一个很长过程,并不是说我们突然之间就得肺癌的,有的潜伏20年,甚至更久,我们肿瘤科很多肺癌病人都是不干那行很多年了,甚至有一些病人都退休了,才发生肺癌的!

第三个,空气污染。包括城市工业废气、汽车尾气,还有室内做饭的“烟气”等等,也会增加我们得肺癌风险;

第四个,大家比较关心的电离辐射!像我们影像科大夫,经常给人拍片接触的X线,就是电离辐射,这玩儿接触多了,也容易得肺癌;

第五个,大家要特别警惕,就是跟肺部相关的某些疾病,我们国家是仅次于印度,得结核最多的国家,像得过结核的人都知道,往往会在肺里边遗留一些病灶,而这些病灶,比如说结核球,结核瘤,很多年以后其实都是有可能有癌变风险的,所以我们医生都建议得过结核的人要定期复查;

当然,除了结核,还有炎性假瘤、慢阻肺等等。

第六个,某些营养物质的缺乏有关,比如像硒等微量元素,还有一些维生素的缺乏等等;

第七个,离不开遗传因素。我们临床上会经常碰到一些癌症的家族,比如妈妈是肺癌,妈妈是结肠癌,两个哥哥,一个是肺癌,一个是结肠癌,他是家里唯一的女儿,后来也被查出得的肺癌。所以,有癌症家族的,要定期检查。

因此,大家可以发现,肺癌的发病原因是多个因素造成的,我们应该要在各个环节方面去注意。

那么肺癌都是悄无声息地发生吗?手指头的症状能说明是肺癌吗?

确实,肺癌算是隐匿癌!但是这里说的“隐匿”,不是悄无声息,准确说的是早期肺癌没有典型的症状!

何为典型症状?就是说不像我们平时遇到流鼻涕,就知道或者就会立马怀疑自己是不是可能感冒了!

早期肺癌,不是这样的!5%—15%,我们说无症状,仅在我们的常规检查、胸部影像学检查时才能发现,但是对于其余病人或多或少地表现与肺癌相关的症状与体征的!

比如咳嗽。为早期症状,常为无痰或少痰的刺激性干咳,而且如果这个肺癌病灶刚好压迫引起我们的支气管狭窄后,还会加重咳嗽,多为持续性的,呈高调金属音性咳嗽或刺激性呛咳。

比如痰血或咯血;

再比如气短或喘鸣;

再再比如还有胸痛、发热等;

这些症状其实都可能是肺癌的症状,但是为什么我们还是说肺癌是“隐匿癌”,有点悄无声息?

其实很简单,主要还是症状不典型,大家想想平时咳嗽、发热、胸痛、气短等等,你会第一时间想到自己可能得了肺癌吗?会想着到了医院看挂肿瘤科看肿瘤科医生吗?这些症状可不像你哪里长了身上哪里长了一个包块会让你第一时间考虑它会不会良恶性的!

还有一点也很重要,就是会出现咳嗽、发热、气短等症状的疾病有很多,就比如很多肺部相关疾病都可以引起,肺癌根本不存在一一对应症状关系,看到哪一个症状,我们立马就能判定这个人得了肺癌,包括我们说拍片,发现一个人肺部有一个肺结节,同样如此,我们不进行病理活检,基本上很难确定是不是癌!

最后,我们说肺癌为什么是“隐匿癌”,还跟肺癌类型、具体长的位置等有关。我们说只要是发生在呼吸上皮细胞(支气管、吸支气管和肺泡)的恶性肿瘤,都称之为肺癌,而我们的肺是一个很大的呼吸器官,一般成年人的肺重量约等于本人体重的1/50,男性平均为1000~1300克,女性也达到了800-1000g

所以像我们说咯血,是不是所有肺癌病人都会?不是这样的,一般多见于中央型肺癌,这是由于肿瘤向管腔内生长导致的。还有刚刚说的胸痛也是,并不是人得了肺癌就会胸痛,如果它没发生转移或者直接侵犯我们的胸壁,也是很难出现胸痛的!

所以,同样是肺癌,症状可以完全不一样,这带来结果就是我们很难通过症状分清楚什么时候是肺癌!

肺癌并不是不可早期发现,方法很重要!

我们说肺癌,等这个病灶大了才发现,那就不叫做早期发现了,而且临床意义不大,大家想想肺癌晚期五年生存率不到20%!

那么我们说就没办法早期发现早期肺癌吗?其实也不是的,怎么在肺癌只有“一个班”或者一个“排”的时候就发现它,是有办法的,但不是通过手指等一些症状,我们说跟肺癌联系最紧密的手指症状,确实存在,那就是杵状指,主要表现为病人手指或足趾末端增生、肥厚、呈杵状膨大!

但是我们说引起这种杵状指的疾病只有肺癌吗?那就不是了!实际上我们临床上,在一些先天性心脏病、克罗恩病,慢性溃疡性结肠炎、或者是一些特发性骨关节病、肝硬化患者身上也发现过这种症状,而绝对不仅仅只有肺癌病人才会有杵状指,反过来讲我们医院肿瘤科的肺癌病人,你会发现也不会每一个病人都会出现杵状指!

那么到底什么是真正对早期发现早期肺癌最有效的办法?

就这两个!

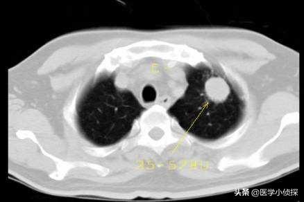
第一个,低剂量螺旋CT!用胸部CT去替代你平时体检拍的胸片来进行肺部的检查,只有这种胸部CT扫描片,才可以早期发现早期肺癌。但是一般情况下,用这个CT发现的早期肺癌,都是长在肺叶里面的周围性肺癌,而针对中心性肺癌,诊断率还是比较低的!因此就下面第二个检查!

第二个,纤维支气管镜或者无痛气管镜!这可以早期发现早期的中心型肺癌,弥补了CT不足,这两个检查几乎可以发现我们目前80%以上的肺癌,而除此之外,对于发现早期有隐匿癌之称的肺癌,没其他比这些方法更有效了!

关于肺癌,大家如果还有什么疑问,可以下方留言,我坚持用大家看得懂的文字,最原始的码字方式给您带来最好、最全面、最实用的健康科普。如果你觉得不错,可以关注“医学小侦探”并转发哟,让身边更多的人受益!

标签: