您现在所在的位置:>首页 > 生活 > 正文
nt检查注意事项(做NT空腹了会影响结果吗)
发布时间:2022-09-25 01:52   浏览量:19

做NT空腹了不会影响结果,只要过程顺利,胎儿配合,医生能看清楚,对结果是没有影响的。

NT检查是B超检查,和普通的B超是一样的,只不过是要测量胎儿颈后透明带的厚度,增加了这一个测量而已。检测的时候会对孕妈妈的腹部扫描,是对胎儿的测量,不是针对孕妈妈的测量,孕妈妈是否空腹,不会影响胎儿的颈后透明带厚度。

NT结果受什么因素影响

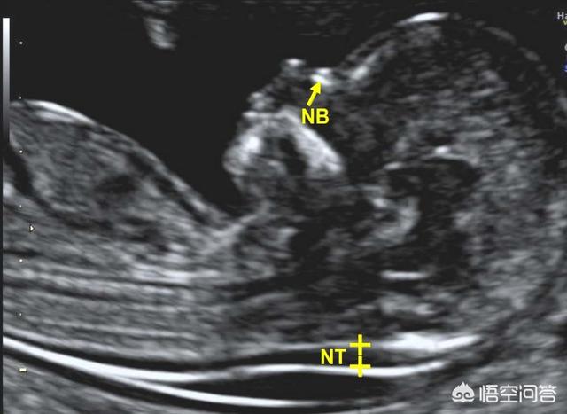
1、颈后透明带的厚度和孕周有关系

颈后透明带只有在11周-13周+6天时测量最准确,过早过晚都不好。

因为在11周之前,淋巴系统发育还不完全,还没有形成颈后透明带。

11周-13周+6天时,淋巴系统开始发育,少部分淋巴液聚集在颈部淋巴囊或淋巴管内,形成颈项透明层。

14 周后淋巴系统发育完善,积聚的淋巴液迅速引流至颈内静脉,颈项透明层随之迅速消失 。

2、颈后透明带的厚度和是否有疾病有关系

正常胎儿存在这一透明区代表胎儿生理性新陈代谢所产生的液体积存,是对胎脑一过性的过度灌注的保护性表现 。

如果透明带增厚,则暗示胎儿染色体异常、胎儿结构畸形、少见的基因综合征以及自然流产等。如21-三体、18-三体、13-三体异常,先天性心脏病、非免疫 性水肿、颈部囊状淋巴管瘤早期等。

这些问题都不是空腹和不空腹所能决定的,和是否空腹没有关系。所以,孕妈妈空腹对胎儿没有影响。

NT检查怎么做更顺利

之所以告诉孕妈妈们NT检查不需要空腹,是考虑到做检查更加顺利而提出的建议,因为做NT检查时,最佳的状态是胎儿仰面斜躺着的姿势,如果是倒立、趴着,都会影响测量的顺利进行。

建议孕妈妈们吃饱饭去做检查,胎儿会比较活跃,当需要他调整姿势配合时,他会听话地做出反应。如果没吃饭也没有关系,携带一点小零食去,胎儿如果不配合,就吃一块巧克力或者饼干,让胎儿活跃起来。

另外选择胎儿比较活跃的时间段去检查,如果胎儿不活跃,也可以拍拍肚子或者出去走一走,让胎儿姿势纠正过来。

哪些项目需要空腹

另外,需要空腹检查的项目是一些血液化验指标,尤其是生化项目,生化项目中包括血糖、血脂、钙、镁离子这些指标,这些指标在食物中也存在,如果吃了饭,食物中的糖、油脂、矿物质会使血液中这些物质的浓度增加,从而会影响检测结果。这样的检查一般有3次是最重要的,第一次是12周左右建档时,第二次是糖筛检查,第三次是临产前的血液检查。

总之,做NT空腹不会影响检查结果,只要胎儿配合,比什么都好!

二胎宝妈,高级育婴师,个性化训练指导师,多平台原创作者。爱孩子、爱生活,愿与万千妈妈分享育儿经验,关注我,获取更多育儿知识。

标签: